竹北全口重建-All on 4/6全口植牙療程
All on 4是什麼?
All on 4 與 All on 6 是專為全口缺牙患者設計的先進植牙療程。利用特殊設計的植體與術式,在齒槽骨骨質條件允許的情況下,僅需植入 4 支或 6 支植體,就能支撐一整排10 至 14 顆牙齒的固定式假牙,達到平均分配咬合力的效果。All on 4 / 6療程不僅能恢復全口牙列,還能大幅縮短療程時間,許多患者甚至能在手術當天立即擁有固定假牙。
對於因牙周病、齒列損壞或長期佩戴活動假牙而困擾的患者,All on 4/6全口重建療程是兼顧功能、美觀與效率的理想選擇。
接軌國際All on 4/6技術,提供更好的全口重建服務
牙科醫療發展快速,竹北日安牙醫診所團隊遠赴澳洲知名全口重建中心交流學習,引進國際新式All on 4/6技術,搭配數位化設備與專科醫師臨床經驗,為患者提供更安全、精準且舒適的治療體驗。從術前評估到術後照護,我們以醫學中心等級的標準自我要求,矢志為患者打造全口新生的笑容。
全口植牙/All on 4/活動假牙的差別

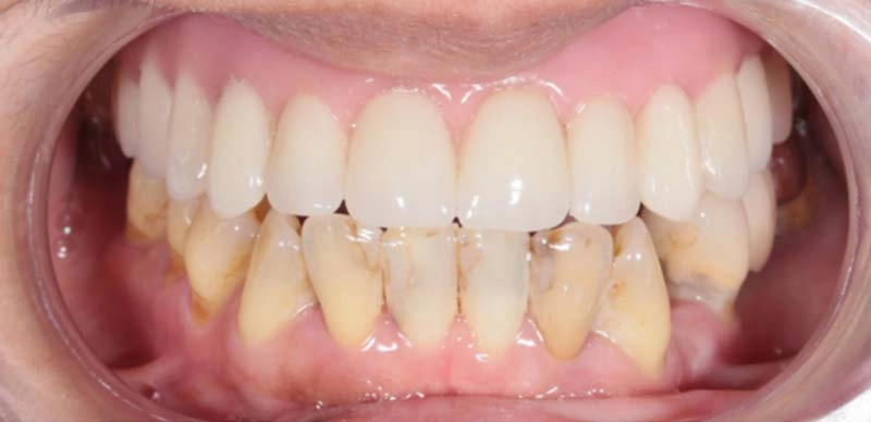
上顎牙橋鬆脫
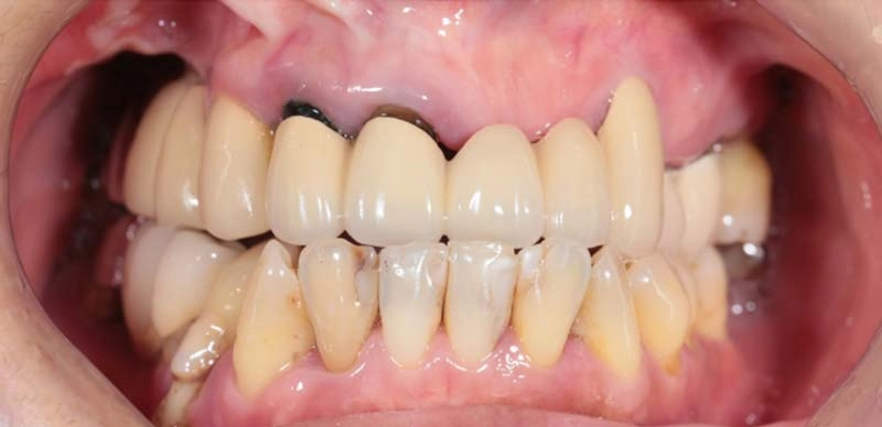
all on 6全口修復牙齒外觀及功能

