竹北陶瓷美白貼片-整齊貝齒打造自信笑容
全瓷貼片是一種將薄層瓷片黏附於牙齒表面的美學修復方式,能有效改善輕微地的牙齒外觀問題,例如:
- 黑三角、牙縫過大
- 牙齒形態不佳或缺角
- 前牙舊有填補物變色
- 難以透過美白方式改善的黃牙或色素沉澱
選擇竹北陶瓷美白貼片,不僅能提升牙齒美觀,更能讓笑容更整齊明亮,展現自然自信
日安牙醫的美白陶瓷貼片特色
貼片治療需要高度美學設計與臨床經驗,才能兼顧自然與耐用。日安牙醫具備以下特色:
- 專業美學背景:王法仁院長為牙體復形專科醫師,專精於全瓷貼片美學規劃,有豐富經驗與成功案例
- 自然仿真效果:全瓷貼片的透光度、色澤與紋理皆能媲美真牙,打造自然又持久的美觀效果
- 數位化模擬:引進RAYFace 臉部掃描系統 與 3Shape 口內掃描儀,可事先模擬微笑曲線與貼片完成後的效果,讓醫師與患者能清楚溝通,確保治療成果符合期待
全瓷貼片療程流程
完成全瓷貼片大約需要五次診療,日安牙醫提供精準的數位化流程:
- 初診諮詢:臉部掃描 → 醫師專業評估 → 口內數位印模
- 數位設計與討論:醫師透過 DSD 數位微笑設計,模擬貼片完成後的樣貌,並與患者討論顏色與形態
- 暫時貼片試戴:確認設計後,製作暫時貼片,讓患者預先體驗未來笑容
- 正式製作:進行少量牙齒修整,送交專業牙技師製作全瓷貼片(約需 10 個工作天)
- 黏著完成:確認顏色與位置無誤後,黏上永久貼片,即可立即展現新笑容
誰適合全瓷貼片?
- 想改善牙齒顏色卻無法靠美白達成者
- 因牙齒形態或缺角影響美觀的人
- 希望改善前牙縫隙或黑三角者
- 追求快速美學改善、不希望長時間矯正的人
如果您正在尋找值得信賴的陶瓷美白貼片療程,竹北日安牙醫結合專業美學背景與先進數位設備,能為您打造專屬笑容設計,讓每一次微笑都自然、自信。立即預約,展開屬於您的美學新旅程!
立即來電預約或是Line預約諮詢→點我看門診時間
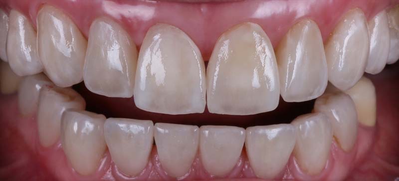
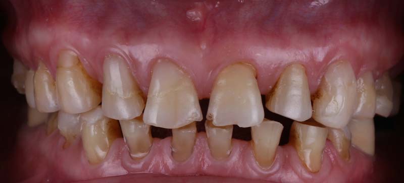
Feldspathic 長石晶體貼片


上下全口陶瓷貼片 修復牙齒外觀及功能
治療前
治療後

