竹北隱形矯正|日安牙醫隱適美矯正療程
為什麼選擇隱形矯正?
在現代牙齒矯正中,透明牙套憑藉其近乎無感的外觀設計,已成為許多患者的優先選擇。隱形矯正不僅改善齒列整齊度,更兼顧外觀與舒適度,讓矯正過程幾乎不被察覺。特別是隱適美®,作為全球頂尖的先進隱形牙套系統,憑藉專利材質與大數據設計,已成為醫師與使用者信賴的品牌。
隱適美®的核心優勢
- SmartTrack™ 專利材質:提供穩定且溫和的矯正力量,提升配戴舒適度
- SmartForce™ 力學設計:針對不同齒列情況,精準控制牙齒移動方向與力道
- SmartStage™ 技術:透過大數據演算規劃矯正路徑,確保療程高效穩定
- 20 年以上臨床數據:全球千萬人見證的可靠品牌
日安牙醫 × 美學整合
竹北日安牙醫診所不僅專精於矯正治療,更擁有美學牙科背景。我們能將隱適美矯正與其他美學療程結合:
• 貼片、樹脂修復:讓矯正與牙齒美觀治療同步進行。
• 植牙規劃:針對缺牙患者,利用隱適美在矯正過程中預留最佳植牙空間。
這樣的整合性規劃,讓矯正不只是整齊,更兼顧微笑曲線的自然美感
→點我了解更多全瓷貼片療程
→點我了解更多微創植牙療程
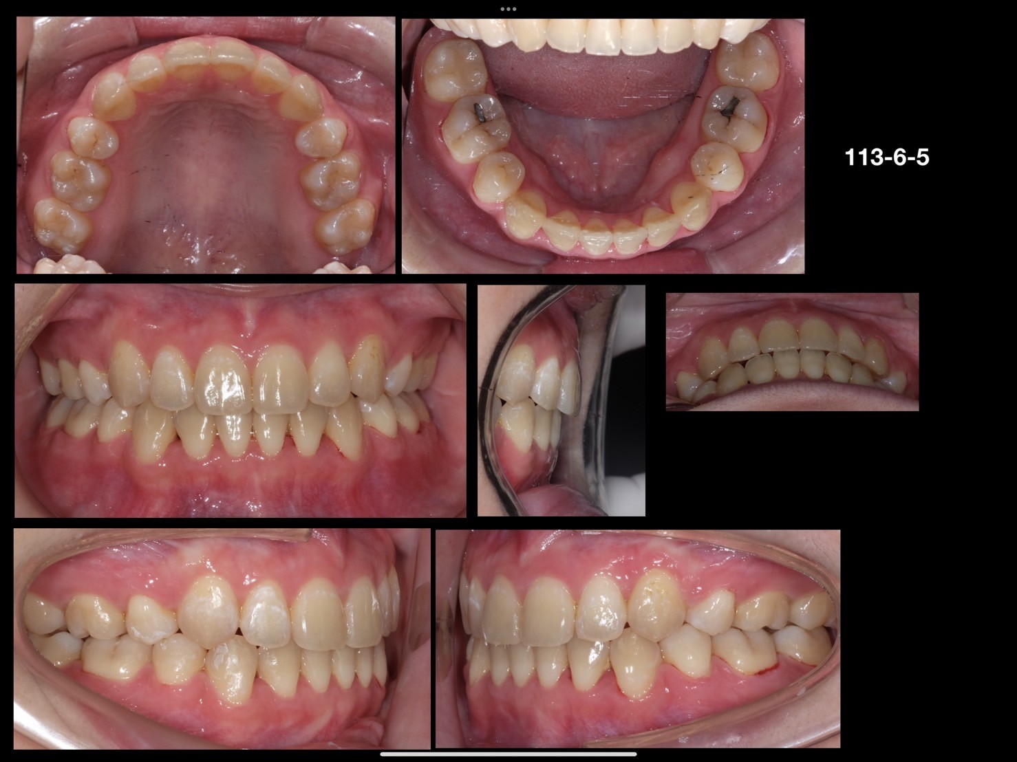
隱適美矯正前
隱適美矯正後
數位化矯正流程
- 數位口掃建模:透過 3Shape 口內掃描儀,快速蒐集牙齒與口腔數據
- 臉部影像分析:結合臉部比例與微笑曲線,規劃專屬矯正計劃
- 矯正模擬:患者可透過電腦模擬預覽矯正成果,增加信心與安心感
- 療程執行:依循計劃逐步更換牙套,隨時追蹤療程進度



