關於我們
醫療團隊
醫療項目
人工植牙治療
舒眠植牙
All on 4/6
微創植牙
齒顎矯正治療
隱形矯正
傳統矯正
兒童早期矯正
贋復補綴治療
全瓷牙冠
3D齒雕
活動假牙
牙髓病治療
活髓治療
顯微根管治療
牙齒美學治療
居家美白
冷光美白
美白貼片
微笑曲線設計DSD
其他治療項目
口腔外科
兒童牙科
牙周治療
家庭牙科
睡眠止鼾治療
鎮靜麻醉治療
專業設備
成功案例
全瓷牙冠
冷光美白
兒童早期矯正
活動假牙
活髓治療
陶瓷嵌體/3D齒雕
陶瓷貼片
植牙
舒眠植牙
傳統矯正
隱形矯正
All on 4 / 6 全口重建
診所環境
最新消息
醫師文章
門診時間
海外專區
Overseas
診所介紹
About
醫療團隊
Team
醫療項目
Service
案例分享
Case
聯絡我們
Contact
關於我們
醫療團隊
醫療項目
+
–
人工植牙治療
+
–
舒眠植牙
All on 4/6
微創植牙
齒顎矯正治療
+
–
隱形矯正
傳統矯正
兒童早期矯正
贋復補綴治療
+
–
全瓷牙冠
3D齒雕
活動假牙
牙髓病治療
+
–
活髓治療
顯微根管治療
牙齒美學治療
+
–
居家美白
冷光美白
美白貼片
微笑曲線設計DSD
其他治療項目
+
–
口腔外科
兒童牙科
牙周治療
家庭牙科
睡眠止鼾治療
鎮靜麻醉治療
專業設備
成功案例
+
–
全瓷牙冠
冷光美白
兒童早期矯正
活動假牙
活髓治療
陶瓷嵌體/3D齒雕
陶瓷貼片
植牙
舒眠植牙
傳統矯正
隱形矯正
All on 4 / 6 全口重建
診所環境
最新消息
醫師文章
門診時間
海外專區
Overseas
+
–
診所介紹
About
醫療團隊
Team
醫療項目
Service
案例分享
Case
聯絡我們
Contact
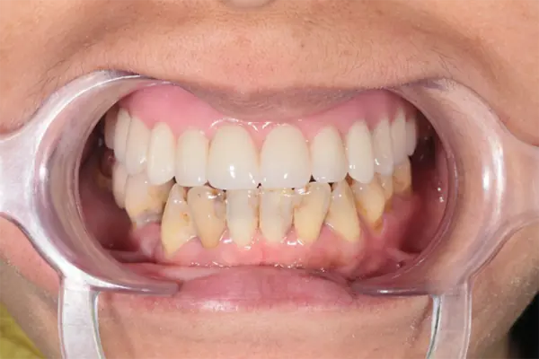
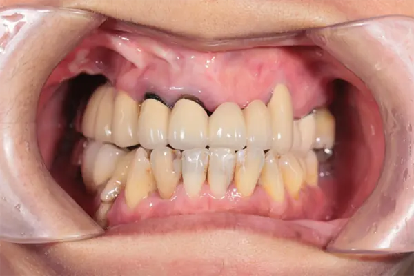
All on 4 / All on 6 全口重建
首頁
/
成功案例
/
All on 4 / 6 全口重建
案例王法仁醫師提供
影片分享
一口好牙重現!咀嚼功能再現l 全口重建是什麼 l 如何改變他的生活品質?
一日全口重建 l 重拾美麗笑容 l 人生70才開始 l 相信改變 l
分享到